• A
  • A
  • A
  • АБВ
  • АБВ
  • АБВ
  • А
  • А
  • А
  • А
  • А
Обычная версия сайта

Российские ученые изучили различия в объеме поражений мозга после инсульта у детей разного возраста

Российские ученые изучили различия в объеме поражений мозга после инсульта у детей разного возраста

© iStock

Команда российских ученых и медиков при участии Софьи Куликовой из НИУ ВШЭ в Перми сравнила объем и характер поражений мозга у детей, перенесших инсульт в первые четыре недели жизни и в возрасте до двух лет. Выяснилось, что чем младше ребенок, тем обширнее зоны поражения мозга, особенно в лобных и теменных долях, отвечающих за движение, речь и мышление. Исследование, опубликованное в журнале Neuroscience and Behavioral Physiology, помогает понять, как возраст влияет на характер и масштаб поражений, и закладывает основу для разработки персонализированных программ реабилитации после инсульта в раннем детстве.

Инсульт — это острое нарушение кровотока в мозге: либо сосуд перекрывается тромбом/эмболом (ишемический инсульт), либо сосуд разрывается, и происходит кровоизлияние (геморрагический инсульт). Детский инсульт имеет специфику, поскольку мозг ребенка постоянно растет и изменяется. Несмотря на то что механизм развития инсульта у детей и взрослых одинаковый (разрыв сосуда, его тромбоз), природа патологии различается. У взрослых это происходит либо из-за эмболов — тромбов, сгустков крови, которые застревают в сосуде и перекрывают кровоток, либо из-за атеросклероза, когда холестерин оседает на стенках сосуда и закупоривает его. Ни того ни другого у детей нет. 

Софья Куликова

«Чаще всего детские инсульты встречаются у малышей с пороками сердца, даже у тех, кого прооперировали. Это связано с тем, что сердечно-сосудистая система у таких детей работает неправильно. Причем для некоторых перинатальных инсультов мы даже не можем определить, когда именно они случились: в момент появления на свет, сразу после или до рождения», — объясняет одна из авторов статьи, заведующая Центром когнитивных нейронаук НИУ ВШЭ в Перми Софья Куликова.

Большой размер поражения всегда связывают с плохим прогнозом, но неизвестно, справедливо ли это для детей, чей мозг обладает чрезвычайной пластичностью. Чтобы ответить на этот вопрос, ученые из нескольких российских университетов и медицинских учреждений (НИУ ВШЭ, УрФУ, МГУ, Института эволюционной физиологии и биохимии имени И.М. Сеченова РАН, УГМУ, Сколковского института науки и технологий, а также Детской городской клинической больницы №9 и Областной детской клинической больницы Екатеринбурга) сравнили объем поражений мозга при инсульте у малышей разного возраста. 

Исследователи проанализировали данные МРТ 35 детей, которые перенесли ишемический инсульт в возрасте до двух лет и лечились в больницах Екатеринбурга, Перми, Челябинска и Тюмени в период с 2015 по 2019 год. Возраст детей на момент инсульта варьировался от четырех дней до одного года 11 месяцев.

Для оценки последствий инсульта исследователи применили современный метод анализа снимков — воксель-базированную морфометрию. Упрощенно эту технологию можно представить так: на каждом МРТ-снимке слой за слоем вручную обводят контуры повреждений области мозга, а специальная компьютерная программа затем вычисляет точный объем этой зоны в кубических миллиметрах. Такая технология позволяет получить наиболее объективные данные по сравнению с традиционным МРТ-отчетом, направленным на определение качественных характеристик (точных границ инсульта, его локализации). Воксель-базированная морфометрия позволяет получить количественные данные: абсолютный и относительный объем поражения от общего объема мозга. Результат применения такого метода — точные числовые значения для последующего статистического анализа и сравнения.

Исследователи поделили малышей на две категории по возрасту: перенесших перинатальный и педиатрический инсульты. Первые пережили нарушение мозгового кровообращения до 28-го дня жизни, вторые — в возрасте от 28 дней до двух лет. 

Оказалось, что инсульты у младенцев и детей, достигших месячного возраста, различаются и по масштабам, и по характеру повреждений. Так, у малышей с перинатальным инсультом объем повреждения мозга оказался намного серьезнее, чем у старших: 7,9% против 1,6% от объема мозга. Также у новорожденных чаще встречались нарушения, затрагивающие кору мозга, смешанные и двусторонние инсульты, а у группы детей от 28 дней до двух лет преобладали локальные подкорковые очаги и повреждения только левого полушария.

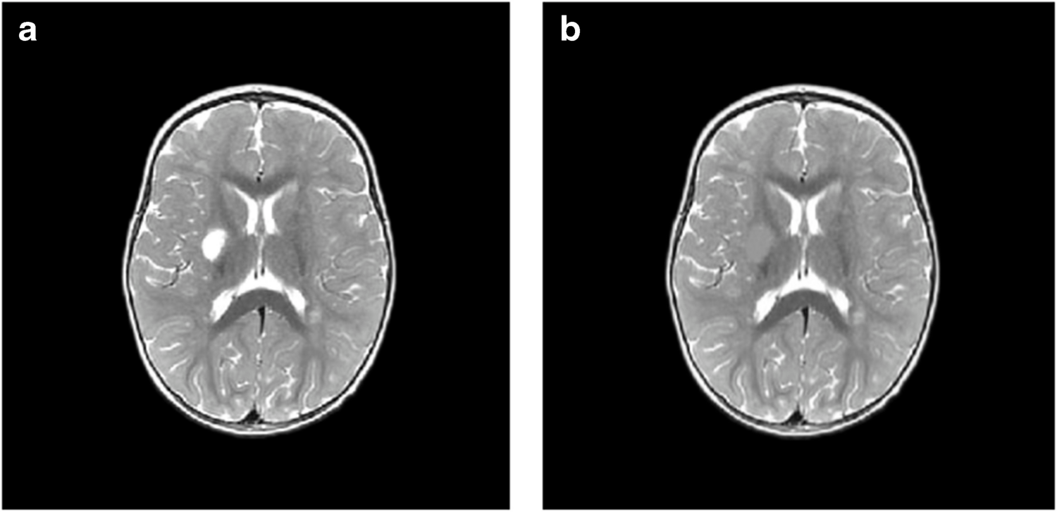
Ишемическое поражение в зоне кровоснабжения правой средней мозговой артерии (а) и его ручная разметка (b) на срезе.
© Korotkova, E.V., Kulikova, S.P., Kotyusov, A.I. et al. Voxel-based morphometry of brain MRI: first results in pediatric ischemic stroke cohort. Neurosci Behav Physi 55, 327–339 (2025).

«Детский мозг очень пластичен, и чем младше ребенок, тем выше пластичность. Поэтому, с одной стороны, более ранний инсульт имеет более обширные поражения, но как это отразится на дальнейшем развитии ребенка, мы пока не знаем. Вовсе необязательно, что большой объем поражений будет связан с неблагоприятным исходом. Бывает так, что зона поражения затрагивает чуть ли не половину мозга, а ребенок впоследствии спокойно учится в школе. А бывает, что поражены всего несколько миллиметров, а ребенок на всю жизнь остается инвалидом», — отмечает Софья Куликова.

Анализ данных также показал, что почти половина инсультов (48,6%) были левосторонними, что согласуется с выводами других исследований. По словам Софьи Куликовой, левосторонние инсульты чаще встречаются и у взрослых. Это связывают с асимметрией сердечно-сосудистой системы: сонные артерии отходят от аорты не симметрично, и возникает вероятность, что тромб образуется в левой стороне мозга, а не в правой. Также, возможно, дело в том, что левая часть мозга в большей степени отвечает за речь, нарушения которой более заметны, чем правосторонние патологии. То есть, возможно, левосторонние инсульты просто чаще диагностируются. С чем такая локализация связана у детей, пока неизвестно.

Второй, менее очевидный вывод касался конкретных зон поражения. Выяснилось, что чаще всего удар у детей приходился на критически важные для развития лобную (68,6% случаев) и теменные (54,3%) доли. А именно эти зоны отвечают за движение, планирование, речь, мышление и восприятие пространства.

Но наиболее уязвимыми оказались зоны, снабжаемые кровью средней мозговой артерией, — 94,3% случаев. Почти у 63% детей была также повреждена внутренняя капсула, что часто ведет к когнитивным нарушениям, таким как невнимательность, апатия, абулия (безволие) и проблемы с памятью. В среднем объем поражения мозга составил примерно 20 тысяч кубических миллиметров — около 3,4% общего объема детского мозга.

На следующем этапе исследований ученые планируют изучить последствия инсульта, произошедшего в разном возрасте, у тех же самых детей. Сегодня многие из них уже учатся в школе, другие остались отстающими в развитии. Исследователи хотят сравнить показатели их когнитивных способностей с локализацией и объемом нарушения мозгового кровообращения, которое они пережили в раннем детстве. Итогом работы ученые видят создание программы прогнозирования и реабилитации после инсульта и для взрослых, и для детей.